<返回秀颜网首页去眼袋
 
<b>如何避免去眼袋手术并发症?</b>
如何避免去眼袋手术并发症?,由于工作压力和长时间熬夜,很多女性朋友的眼睛出现了深眼
<b>激光祛眼袋果怎么样?</b>
激光祛眼袋果怎么样?、激光去除眼袋的果如何?熬夜的人有眼袋,眼袋较近的工作压
为什么有的人做了眼袋手术疤痕不明X
为什么有的人做了眼袋手术疤痕不明X原欧美莲整形美容专家表示,眼袋手术是整形手术中较细致的,
祛眼袋手术失败怎么办?
祛眼袋手术失败怎么办?,手术有一定的风险,没有的成功。例如,去除眼袋的手术,没
太原激光去眼袋果如何
太原激光去眼袋果如何相信很多女性都希望自己是的,一旦出现眼袋,美丽的外表会受
<b>太原去眼袋哪个医院好?太原欧美莲整形美容医院去眼袋怎么样?</b>
太原去眼袋哪个医院好?太原欧美莲整形美容医院去眼袋怎么样?太原去眼袋哪家医院好?眼袋常见于40岁左右的中老年人,男女
<b>祛眼袋术内切和外切哪个果好</b>
祛眼袋术内切和外切哪个果好眼袋形成的原因: 其一,随着年龄增加,皮肤,皮下组织,肌肉
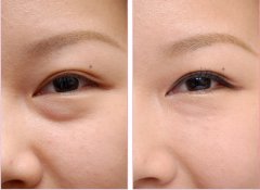
<b>去眼袋术前术后对比图</b>
去眼袋术前术后对比图
<b>去眼袋能保持多久?</b>
去眼袋能保持多久?去眼袋能保持多久呢?手术去眼袋手术分内路吸脂和外切两种,
<b>激光溶脂祛眼袋</b>
激光溶脂祛眼袋眼袋给人一种很显苍老无神的感觉。 去眼袋 的方法有很多,其
向上滑动查看更多