<返回秀颜网首页
整形手术
整形手术
皮肤美容
微创手术
牙齿整形
整形价格
整形医生
整容医院
整形吧
韩国整形
整形美容问答
按地区找医院
按项目找医院
全部
北京
天津
山东
河南
宁夏
新疆
内蒙
辽宁
广东
广西
浙江
安徽
云南
陕西
山西
湖北
湖南
上海
江苏
四川
贵州
吉林
黑龙江
海南
重庆
福建
江西
甘肃
青海
西宁
河北
较有减肥法
很多的求美者在试过减肥茶、减肥操、瑜伽等减肥方法以后还是
隆鼻子多少钱
隆鼻子多少钱 ?隆鼻子分为注射玻尿酸隆鼻和手术隆鼻两种方案
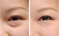
怎么样才能去眼袋
现在的生活压力加大,很多朋友们可能常常熬夜加班或者经常睡
眼袋怎么消除
在上一章的 怎么样才能去眼袋 一章中重点讲到了非手术的去眼
鼻翼整形方法
在上一章秀颜 整形网 和大家一起探讨了关于 鼻尖整形 的过程,
面部瘦脸的方法
面部瘦脸 的方法有很多,但是首先必须确定是脂肪、咬肌、骨骼
注射瘦脸要多少钱
注射瘦脸要多少钱 ?问这个问题的求美者,由于医生没有了解到
玻尿酸注射隆鼻多少钱
近年来有相当多的求美者通过玻尿酸隆鼻的方式完成了自己的鼻
怎样使用玻尿酸美白
怎样使用 玻尿酸美白 ?其在我们在电视上面看到的很多明星就
面部去皱的好方法
一些求美女士到了一定的年龄以后脸上很多位置都开始出现皱纹
下一页
共 93页
向上滑动查看更多
秀颜网官方咨询微信:xyw88forever
秀颜网官方交流Q群:377966727