<返回秀颜网首页
整容医院
整形手术
皮肤美容
微创手术
牙齿整形
整形价格
整形医生
整容医院
整形吧
韩国整形
整形美容问答
按地区找医院
按项目找医院
全部
北京
天津
山东
河南
宁夏
新疆
内蒙
辽宁
广东
广西
浙江
安徽
云南
陕西
山西
湖北
湖南
上海
江苏
四川
贵州
吉林
黑龙江
海南
重庆
福建
江西
甘肃
青海
西宁
河北
全部
杭州
宁波
宁波拉皮手术哪家医院好|宁波面部提升价格表
宁波拉皮手术哪家医院好?宁波做拉皮手术多少钱?对于真正的
杭州连天美磨骨手术需要多少钱?
对自己的脸型不满意的兄弟姐妹,通常会想到通过磨骨手术快速
杭州华山连天美靠谱吗?是不是正规医院?
杭州华山连天美靠谱吗?是不是正规医院?好不好?杭州连天美
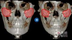
杭州连天美磨骨怎么样,杭州连天美颧骨内推案例一览。
杭州连天美磨骨怎么样?大概需要多少钱?哪个医生好?高俊明
嘉兴哪个医院做双眼皮手术好
作为国务院批复确定的中国具有江南水乡特色的旅游城市的嘉兴
杭州哪个整形医院磨骨好?杭州磨骨医院医生分析|附价格表。
杭州磨骨哪个医院好,杭州磨骨医生都有哪些,唐冬生,高俊明
杭州美莱栗勇巨乳缩小技术怎么样
杭州美莱栗勇缩胸采用垂直精细法乳房缩小上提术来做,同时开
杭州三甲医院吸脂怎么样|哪个医院好
杭州三甲医院吸脂怎么样哪个医院好,做的好不好,技术靠谱嘛,
杭州面部吸脂公立医院哪家好
杭州面部吸脂公立医院哪家好,技术靠谱嘛,口碑怎么样,面部
杭州哪些医院可以做磨骨手术
杭州哪些医院可以做磨骨手术,磨骨整形技术靠谱的医院有哪些
下一页
共 15页
向上滑动查看更多
秀颜网官方咨询微信:xyw88forever
秀颜网官方交流Q群:377966727